- Là một bệnh tim bẩm sinh có tầm quan trọng
trong tim mạch học nhi khoa. Biểu hiện tím thường thấy ở đầu chi, môi và xuất
hiện vào khoảng 4 đến 6 tháng sau sinh.
- Tổn thương giải phẫu (Hình ảnh Minh Họa
Khá HAY)
A: Hẹp đường thoát thất phải
B: Động mạch chủ cưỡi ngựa trên vách liên thất
C: Thông liên thất
D: Phì đại thất phải
B: Động mạch chủ cưỡi ngựa trên vách liên thất
C: Thông liên thất
D: Phì đại thất phải
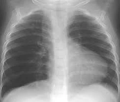
- X Quang: Tim hình hia (boot shaped heart)

