1.Giới thiệu:
- Hơi tự do (Pneumoperitoneum) là hơi có
trong khoang bụng, nhưng ở ngoài lòng ruột. Hơi tự do có thể hiện diện trong
trường hợp thủng tạng rỗng hay bơm CO2 trong nội soi ổ bụng. Cả hai trường hợp
này đều có hình ảnh hơi tự do trên XQ, nhưng ở các thể lâm sàng hoàn toàn khác
nhau.
- Thủng tạng rỗng (Bowel perforation) là một cấp cứu ngoại khoa. Do đó
tất cả sinh viên y khoa và bác sĩ nên làm quen với hình ảnh hơi tự do trên XQ ở
những BN có cơn đau bụng cấp, để có thể chẩn đoán kịp thời nhầm giảm thiểu biến
chứng.
2. Các dấu chứng thủng tạng rỗng trên
XQ
a.Trên XQ ngực thẳng: có hình ảnh liềm hơi dưới hoành
-BN đau bụng cấp nên được làm XQ ngực thẳng
và XQ bụng nằm. Trước khi chụp XQ, BN nên ngồi thẳng 10-20 phút để hơi tự do
trong ổ bụng bay lên, tập trung dưới vòm hoành, tạo thành hình ảnh liềm hơi dưới
hoành. Chỉ cần có khoảng 1ml hơi trong khoang bụng thì đã có thể thấy
hình ảnh liềm hơi dưới hoành trên XQ
BN này có một lượng lớn hơi tự do dưới cơ hoành,
Lượng hơi này chia ra phân bố ở phần vòm hoành bên phải ( là vị trí của gan phải)
và phần vòm hoành bên trái (là vị trí của góc đại tràng trái).
Nếu trên lâm sàng nghi ngờ có thủng tạng rỗng
thì nhiệm vụ của bác sĩ phải quan sát kĩ càng hình ảnh XQ. Ví dụ như ở BN này,
chỉ có một liềm hơi mỏng ở dưới hoành bên phải, nếu không quan sát cẩn thận rất
dễ bỏ sót dấu chứng quan trọng này
b.Trên XQ bụng nằm:
-Tuy XQ ngực thẳng là một xét nghiệm hình ảnh
khá nhạy với các trường hợp thủng tạng rỗng. Nhưng XQ bụng nằm cũng sẽ cung cấp
một số dấu hiệu hữu ích để phát hiện hơi tự do trong ổ bụng
Rigler’s sign( hay Double wall sign) là sự xuất hiện của khí ở cả hai bên thành
ruột. Do đó trên XQ, chúng ta sẽ thấy rõ cả thành trong và thành ngoài của ruột
Bình thường, chỉ thấy rõ thành trong của ruột
Nhưng khi có thủng tạng rỗng sẽ thấy rõ cả hai thành của ruột
Nhưng khi có thủng tạng rỗng sẽ thấy rõ cả hai thành của ruột
Hơi tự do chen giữa các đoạn ruột, hình
thành hình ảnh các góc và các tam giác(*)
Football sign:
Một lượng lớn hơi tự do trong ổ bụng tạo
thành một vùng đen rộng lớn. Trên XQ ta có football sign
Rìa của gan (Liver Edge)
Do có khí ở bên trong khoang bụng. Nên trên
XQ có thể thấy rõ rìa ngoài của các tạng đặc và những cấu trúc như là rìa gan,
dây chằng liềm.
3.Các hình ảnh dễ nhầm lẫn với hơi tự
do trong ổ bụng:
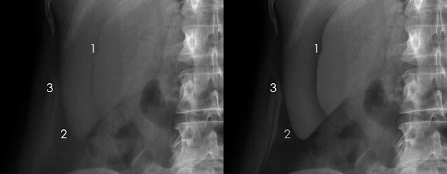
a.Bóng hơi dạ dày
-Hình ảnh bóng hơi dạ dày không nên bị nhầm
lẫn với hình ảnh hơi tự do trong khoang bụng
-Bóng hơi dạ dày tạo thành một hình ảnh dạng
tròn hoặc dạng trứng ở dưới vòm hoành trái. Bởi vì thành của dạ dày dày, nên sẽ
có một đường dày phân cách hơi trong dạ dày và khí trong phổi
Hình ảnh bóng hơi dạ dày trên XQ ngực thẳng
có các đặc điểm sau:
+Dạng tròn/ dạng trứng
+Có thành dày ở trên
+Có mức nước hơi
+Dạng tròn/ dạng trứng
+Có thành dày ở trên
+Có mức nước hơi
b.Hiện tượng Chilaiditi (Chilaiditi’s
phenomenon)
Ở những BN có gan nhỏ (xơ gan) hoặc cơ
hoành dẹt do phổi giãn quá mức (khí phế thủng) , tạo thành một khoảng trống ở
phần bụng dưới, trên gan. Khoảng trống đó có thể bị lắp đầy bởi ruột. Nếu ruột
chứa nhiều khí, sẽ tạo thành hình ảnh dễ nhầm lẫn với hơi tự do dưới cơ hoành.
c.Giả Rigler’s sign: Nên cẩn thận để tránh nhầm lẫn dấu Rigler với 2 đoạn ruột nằm ngay
sát nhau
Hơi nằm 2 bên của thành ruột được chứa
trong trong 2 đoạn ruột nằm ngay sát nhau
Hình ảnh giả Rigler’s sign : Không có hình ảnh các góc hoặc tam giác do khí len lỏi vào giữa các đoạn ruột
Hình ảnh giả Rigler’s sign : Không có hình ảnh các góc hoặc tam giác do khí len lỏi vào giữa các đoạn ruột
d. Giả Football sign: không nhầm lẫn bụng dày mỡ với hơi tự do trong ổ bụng 
Nguồn: Trang thực tập Ngoại









