Mục tiêu học tập:
1. Trình bày được các triệu chứng lâm sàng của hội chứng TALNS.
2. Nêu được các biến chứng của hội chứng TALNS.
đại cương
1. Định nghĩa:
TALNS: Là ALTT của DNT ở trong não thất hoặc ngoài màng cứng > 15 mmHg (bình thường = 10 mmHg ở t thế nằm).
- TALNS là hội chứng thường gặp trong bệnh lý thần kinh và là hội chứng rất dễ gây
nguy hiểm đến tính mạng.
- Có rất nhiều nguyên nhân.
2. Vài nét về giải phẫu:
Hộp sọ:
- Cứng, kín và không có khả năng giãn nở. Chỉ có một lỗ thoát duy nhất là lỗ chẩm.
- Chứa đựng trong hộp sọ bao gồm 3 thành phần chủ yếu:
+ Tổ chức não
+ Dịch não tuỷ
+ Hệ thống mạch máu não: Đm não và Tm não
Hình ảnh minh hoạ nền sọ
3. Cơ chế bệnh sinh:
Khi có hiện tượng tăng thể tích trong hộp sọ => Tăng áp lực trong sọ => Hội chứng tăng áp lực nội sọ.
Tăng thể tích trong sọ có thể do:
- Tăng thể tích tổ chức
não: Khối choán chổ (U não, áp
xe não, tụ máu...)
- Tăng
thể tích dịch não tuỷ:
+ Tăng tiết dịch não tuỷ
+ ứ trệ tuần hoàn dịch não tuỷ
DNT tiết ra từ đám rối mạch mạc NTB, NTBa
=> qua lỗ
Monro => Não
thất ba => qua cống
não => Não thất tư => qua lỗ Luschka,
Magendie => Khoang dưới
nhện => qua hạt thẩm thấu => Xoang tĩnh mạch dọc trên, sau đó đỗ vào tuần hoàn chung).
Tắc nghẽn hệ tuần hoàn DNT => tăng thể tích DNT => TALNS
Có một số vị trí tắc thường gặp.
- Tăng
thể tích hệ thống mạch não:
Viêm tắc tĩnh mạch => ứ trệ tuần hoàn => TALNS.
4. Sinh lý bệnh của
TALNS:
Hậu quả của TALNS:
- Biến
chứng lọt não (sẽ trình bày ở phần biến chứng
TALNS)
- Biến
chứng về thị lực: giảm thị lực (phù gai),
mù (teo gai thị).
- Hậu
quả về tuần hoàn: Nếu TALNS kéo dài => chèn mạch não => thiếu máu não.
Triệu chứng lâm sàng
1. Triệu chứng cơ
năng:
1.1. Đau đầu: với
tính chất:
+ Sớm, toàn bộ, tiến triển tăng dần
+ Tăng lên khi có sự gắng sức
+ Điển hình là đau đầu về nửa đêm gần sáng (chu kỳ tiết dịch não tuỷ)
+ Các thuốc giảm đau thông thường không tác dụng.
1.2. Nôn: xuất hiện
muộn hơn, thường không hằng định.
Điển hình nôn dễ dàng, nôn vọt không
liên quan tới bữa ăn. Có thể đỡ đau đầu
sau khi nôn.
1.3. Rối loạn thị
giác:
- Giảm thị lực do phù gai thị xuất hiện muộn.
- Nhìn đôi: thường do liệt dây thần kinh VI
2. Triệu chứng thực
thể
2.1 Đáy mắt:
+ Phù gai thị là triệu chứng khách quan có giá trị nhất.
+ Thường xuất hiện muộn khi các triệu chứng khác đã rõ ràng.
Diễn biến gai thị theo các giai đoạn khác nhau từ nhẹ đến nặng.
Hình ảnh đáy mắt bình
thường
a. Giai đoạn ứ gai:
-
Gai thị đầy lên so với bề mặt của võng mạc và hồng hơn bình thường.
- Bờ
gai thị mờ dần từ phía mũi đến phía thái dương
- Mất
ánh trung tâm
-
Các mạch máu cương tụ
b. Giai đoạn phù gai:
- Bờ
gai thị bị xóa hoàn toàn, đĩa thị bị phù sưng trên bề mặt võng
mạc, như hình nấm.
(Người
ta đo độ lồi này bằng diop 1nm = 3diop)
-
Gai thị đỏ hồng túa ra như
ngọn lửa.
-
Các mạch máu cương tụ
ngoằn ngoèo.
Hình ảnh phù gai và
xuất huyết đáy mắt
c. Giai đoạn xuất huyết:
- Hình ảnh phù gai thị như giai đoạn trên.
- Những đám xuất huyết ở gai thị và võng mạc.
d. Giai đoạn teo gai:
- Giai đoạn cuối cùng, giai đoạn mất bù.
- Gai thị trở nên bạc màu trắng bệch, mất bóng, bờ nham nhở.
- Các mạch máu thưa thớt nhạt màu
- Trên lâm sàng thị lực bệnh nhân giảm.
- ở trẻ em < 5 tuổi do hộp sọ còn có khả năng giãn nở nên thường không có đầy đủ các
giai đoạn trên, ít khi thấy xuất
huyết gai thị mà thường dần dần
teo gai thị.
- Phù gai thị trong TALNS thường xuất hiện hai bên với mức độ có thề khác nhau. Hiếm gặp
phù gai đơn độc một bên.
- Trong u não thùy trước trán: Phù gai thị bên đối
diện teo gai thị bên tổn thương (hội chứng Foster - Kennedy).
2.2 Tăng chu vi vòng
đầu:
- Trẻ dưới 5 tuổi TALNS gây giãn khớp sọ biểu hiện bằng sự tăng kích thước vòng đầu.
- Hộp sọ trẻ có hiện tượng giãn tĩnh mạch da đầu, hai mắt to, lồi, gõ có thể có tiếng
"bình vỡ" dấu hiệu
Macewen.
- Có thể nghe tiếng thổi trên sọ hoặc ở mắt trong.
2.3 Rối loạn ý thức:
Có thể gặp mức độ nhẹ hội chứng lú lẫn, u ám đến hôn mê.
2.4 Triệu chứng thần
kinh khu trú:
Tùy theo nguyên nhân và vị trí tổn thương của TALNS:
+ Liệt các dây thần kinh sọ não (riêng liệt dây VI một bên không có ý nghĩa trong định khu
tổn thương)
+ Liệt vận động do tổn thương bó tháp...
2.5 Một số triệu chứng
khác
- Rối loạn tuần hoàn: Nhịp tim chậm, tăng huyết áp, tăng tiết mồ hôi.
- Rối loạn tiêu hóa: Nấc, chảy máu tiêu hóa do loét dạ dày hoặc thực quản.
- Rối loạn hô hấp: Nhịp thở chậm, sâu dần khi biến chứng.
- Rối loạn nội tiết: TALNS kéo dài sẽ gây biến chứng béo phì và teo sinh dục.
Cận lâm sàng
1. Chụp X-quang sọ
(thẳng, nghiêng):
- Giãn khớp sọ: ở trẻ em dưới 5 tuổi.
- Tăng các dấu ấn ngón tay trên vòm sọ.
- Các thay đổi của hố yên: Mất mỏm yên, giãn rộng hố yên.
- Di lệch vị trí tuyến tùng vôi hóa gặp ở ngời lớn chứng tỏ có đè đẩy trên lều.
2. Chụp cắt lớp vi
tính sọ não
- đôi khi thấy nguyên nhân của TALNS:
+ Gây đè đẩy não thất vào đường giữa.
+ Phù não: Mất các rãnh não và giảm tỷ trọng quanh ổ tổn thương.
+ Não úng thủy do tắc nghẽn: Giãn não thất phía trên chỗ tắc.
+ Đánh giá ảnh hưởng của tăng áp lực nội sọ xem có thoát vị không.
+ Giúp cho điều trị tùy theo nguyên nhân.
3. Chụp cộng hưởng từ
và CHT M/ máu não:
- Được chỉ định khi không tìm thấy tổn thương trên phim chụp cắt lớp vi tính và chụp
cộng hưởng từ nhất là:
- Cộng hưởng từ mạch não cho phép phát hiện viêm tắc tĩnh mạch
Biến chứng của TALNS
1. Biến chứng thoát vị
não:
1.1 Thoát vị trung
tâm: Não giữa và não trung tâm
bị đè đẩy.
1.2 Thoát vị cực hải
mã của thùy Thái dương vào khe Bichat: hội chứng Weber: Liệt
dây III, liệt nửa ngời bên đối diện.
1.3 Thoát vị tiểu não
lên trên lều tiểu não: U hố sau
khi có gây thoát vị thùy trớc tiểu não lên
trên bờ tự do của lều tiểu não biểu hiện:
- Liệt liếc dọc (dấu hiệu Parinaud), Hội chứng Weber.
Hình ảnh minh họa khe
Bichat
1.4 Thoát vị bên dưới
liềm đại não:
U thùy trán gây thoát vị hồi khuy bên dưới bờ tự do của liềm đại não gây ép vào động mạch
não trớc thuỳ trán bên đối diện. Sự
chèn ép có thể gây nhồi máu thùy
trán bên đối diện và dấu hiệu tổn thương thùy
trán 2 bên:
+ Rối loạn nhận thức, hành vi, tác phong...
+ Phản xạ cầm nắm (grasping reflex)
+ Dấu hiệu gan tay - cằm, phản xạ mút...
1.5 Thoát vị hạnh
nhân tiểu não:
là thoát vị thường dễ dẫn đến tử vong. Biểu hiện đột ngột:
+ Đau đầu vùng chẩm lan xuống gáy, cứng gáy, cứng cổ.
+ Cơn trơng lực hố sau đột ngột tăng trơng lực đầu và chi dưới, kèm theo ý thức u ám.
+ Rối loạn hô hấp, tuần hoàn: rối loạn nhịp thở, nhịp tim chậm ngừng thở, ngừng tim
đột ngột.
+ Rối loạn ý thức nhanh chóng.
2.Teo gai thị giác:
Do tổn thương gai thị tiến triển gây gây teo gai thị và có thể gây mù.
3. Thiếu máu não: Trong
trường hợp tăng áp lực nội sọ trầm
trọng làm lu lượng tuần hoàn não giảm
gây ra thiếu máu não.
- Chọc dò DNT có thể gây ra thoát vị não trong TALNS. Vì vậy chống chỉ định chọc DNT
khi phù gai từ +2 diop trở lên.
Nguyên nhân TALNS
1. U não:
TALNS do:
- Thể tích khối u.
- Do phù nề quanh u hoặc ứ trệ tĩnh mạch.
- Do não úng thủy (tắc nghẽn).
2. Nguyên nhân mạch
máu
- Các khối máu tụ nội não
- Nhồi máu lan rộng
- Chảy máu màng não
- Viêm tắc tĩnh mạch não
3. Do chấn thương
- Máu tụ ngoài màng cứng.
- Máu tụ dưới màng cứng cấp hoặc mạn tính.
- Chấn động não phù nề hoặc chảy máu.
- Khối máu tụ trong não do chấn thương.
4. Bệnh não tăng huyết
áp
Trong tăng huyết áp ác tính, kèm theo phù não gây tăng ALNS.
5. Não úng thủy bẩm
sinh
Hay gặp ở trẻ em do bệnh bẩm sinh.
6. Do nhiễm khuẩn
áp xe não (do vi khuẩn gây mủ, lao), Viêm não Viêm màng
não gây dày dính màng não gây não
úng thủy.
7. Tăng áp lực nội sọ
thể giả u
Còn gọi là tăng áp lực nội sọ "lành tính" hoặc "giả u não", nguyên nhân cha
biết. Hay gặp nhất ở phụ nữ trẻ và
tuổi vị thành niên có béo phì. Tiến
triển chậm trong thời gian dài nhiều tuần.
8. Những nguyên nhân
khác
- Do thuốc: Corticoid, vitamin A, tetracyclin...
- Ngộ độc: Oxyt carbon (CO), chì.
- Nội tiết: Suy tuyến cận giáp, bệnh Addison.
- Suy hô hấp mạn tính: Tăng áp lực nội sọ do giãn các mạch máu não hậu quả của toan
máu.
điều trị TALNS
1. Các biện pháp xử
trí ban đầu
- Đảm bảo thông khí theo nguyên tắc cấp cứu
- Đặt và duy trì truyền tĩnh mạch.
- Máy theo dõi về hô hấp và tim mạch.
- Chống phù não, giảm đau. Corticoid, Thuốc lợi niệu (diamox, lasilix), các dung dịch ưu trương.
2. Điều trị nguyên
nhân
2.1. Điều trị ngoại
khoa:
+ Mổ lấy khối máu tụ ngoài màng cứng, dưới màng cứng và nội não.
+ Phẫu thuật khối u gây nguy cơ tụt kẹt não
+ Dẫn lưu
não thất khi có não úng thủy.
2.2. Điều trị nội
khoa: Tăng huyết áp, kháng sinh
trong viêm màng não vi khuẩn, thuốc chống
đông trong viêm tắc tĩnh mạch não…
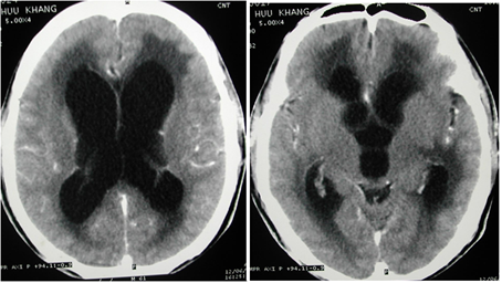
hình ảnh giãn não thất
hai bên:
hình ảnh tổn thương
áp xe não
Hình ảnh tổn thương u tiểu não gây giãn não thất
hình ảnh tổn thương dạng
viêm não









